Allt vanligare med frätskador på ungas tänder – energidrycker påverkar negativt

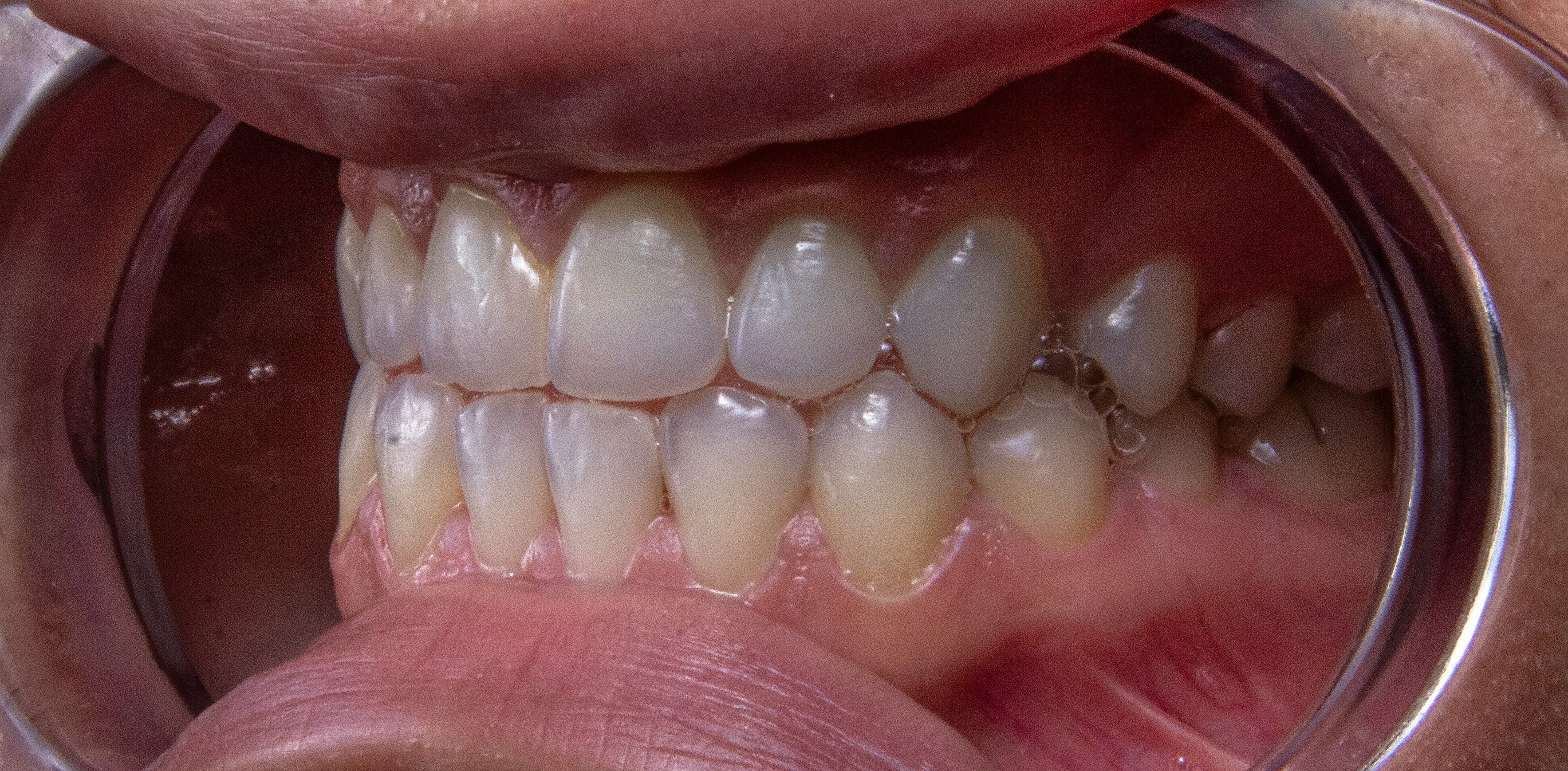
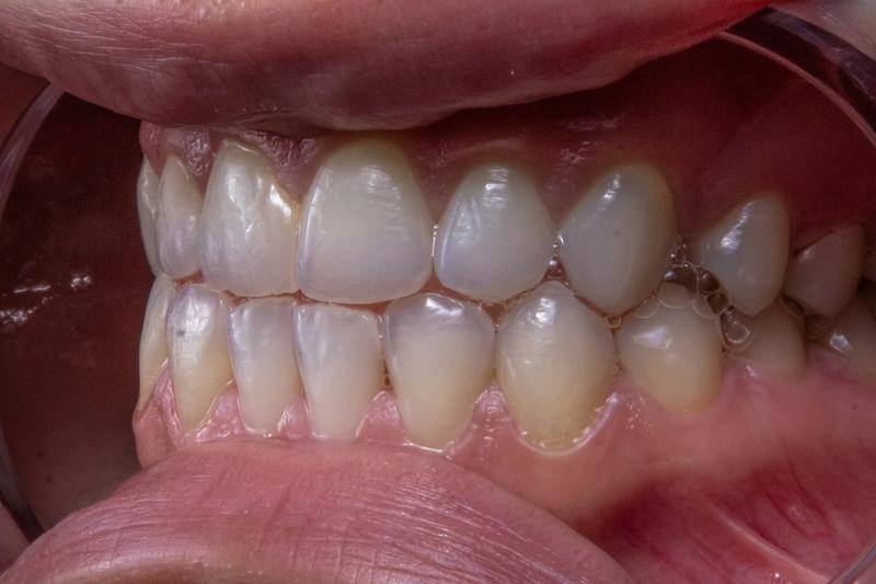
Det blir allt vanligare att ungas tänder skadas av energidrycker, läsk och andra sura drycker. Tandläkaren Elsa Le Curieux vid tandvården hos Ålands hälso- och sjukvård säger att frätskador kryper längre och längre ner i åldrarna.
– Energidrycker löser upp emaljen och tänderna kan se gulare ut, de kan också
bli känsligare och man får mer ilningar. Men det kan också bli större skador om
tanden blir mjuk, det kan bildas gropar i tanden när man biter, säger hon.
Enligt Elsa Le Curieux motsvarar en liten burk energidryck på 250 milliliter åtta
sockerbitar och burkarna på en halvliter upp till 15–16 sockerbitar. De
innehåller också syror som fräter på tänderna, och PH-värdet i en energidryck
ligger på tre, alltså på samma nivå som ättika.

– Hål i tänder är egentligen en ganska långsam process men energidryckerna
påskyndar den enormt mycket. På bara några månader kan en liten början till
hål bli ganska stort, säger Elsa Le Curieux.